At Animal Care Clinic tooth brushing, proper chew toys/treats, and routine teeth cleaning are all part of preventive dental care. We also provide thorough exams on young pets to look for problems with alignment or retained baby teeth that could lead to disease in the future.
When periodontal care is needed, your pets will be treated to the same level of dental hygienic care at ACC that you get when going to your dentist, including full mouth digital x-rays. Every tooth is hand scaled on all surfaces and cleaned ultrasonically using titanium tips that are safe and effective. A complete oral examination is performed and every tooth is polished. Pain control is provided for every patient. If any abnormalities are detected during the cleaning or examination, we are often able to address them immediately without the need to make a separate appointment. We are able to provide a full array of advanced dental care for patients including surgical tooth extractions and removal of oral masses.
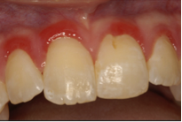
To better assess your pet’s dental health, below are the different stages of periodontal disease with photos of human teeth, feline teeth, and dog teeth for reference. Call us if you have any questions or concerns about your furry friend’s dental health.
Stage 0 Disease: No signs of infection or inflammation. May or may not see mild tartar build-up.



Stage 1 Disease: Early gingival infection manifested by red and mildly swollen gumline. May or may not see tartar build- up.



Stage 2 Disease: More pronounced gingival infection with more obvious swelling of gum tissue. Minimal loss of gum or bone tissue has occurred. Bleeding is likely when pets chew on chew toys.



Stage 3 Disease: Early bone and gum recession. Gum margins are red and swollen and some tooth root can be seen unless covered by excessive tartar.



Stage 4 Disease: More pronounced gum and bone loss. Significant tooth root exposure. Teeth may be loose or missing.



Leave A Comment
You must be logged in to post a comment.